Before and After Cases

  • Home
  • Before and After Cases

Recognized as a leading dental clinic in the area, Solana Dental offers expert, patient-centered care to ensure a healthy, confident smile for every member of our community.

Call Us when you Need Help!
24/7 Support: +201553677999

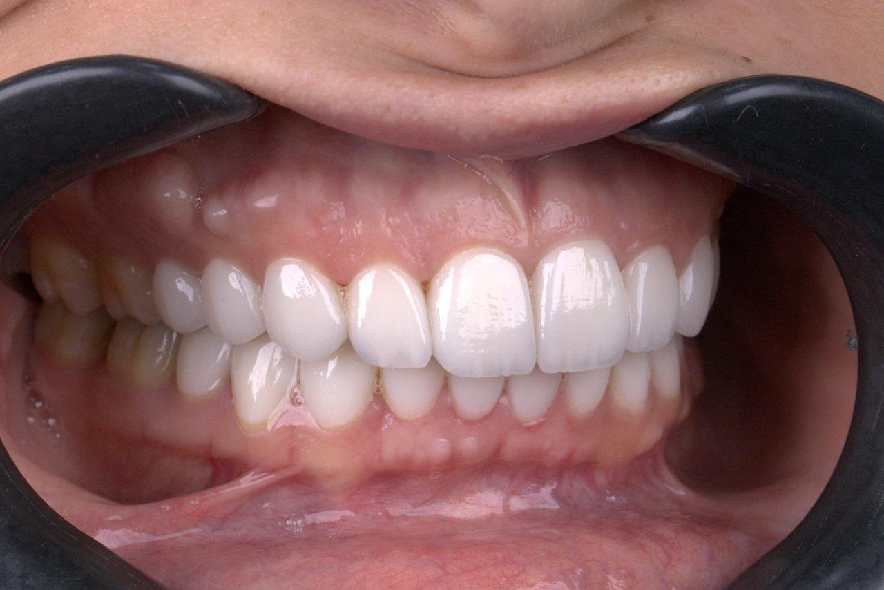
Before

Before

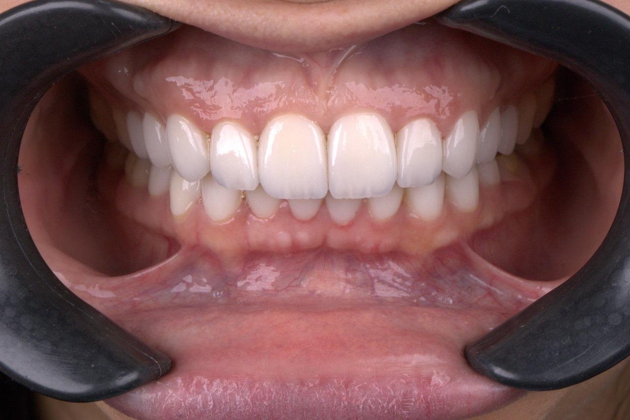
After

After

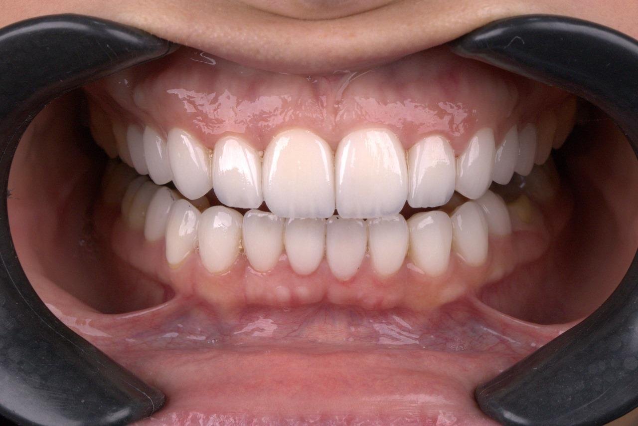
Before

Before

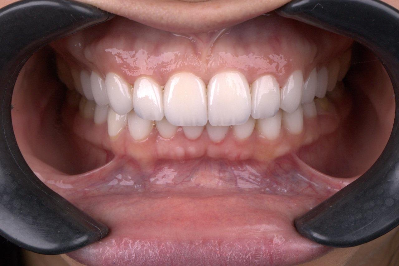
After

After

Before

Before

After

After

Before

Select the fields to be shown. Others will be hidden. Drag and drop to rearrange the order.
  • Image
  • SKU
  • Rating
  • Price
  • Stock
  • Availability
  • Add to cart
  • Description
  • Content
  • Weight
  • Dimensions
  • Additional information
Click outside to hide the comparison bar
Compare